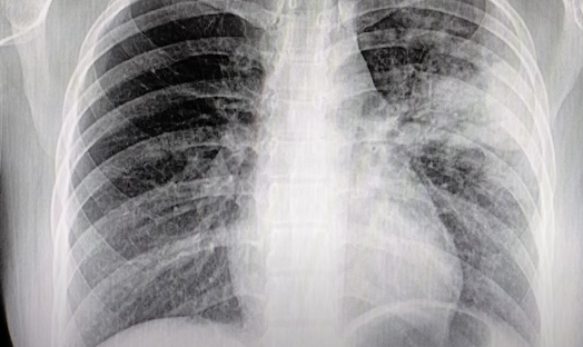
반응형 폐렴 예방법1 폐렴 증상부터 원인, 예방법까지 🌬️ 반드시 알아야 할 폐 건강 정보 폐렴의 증상, 원인부터 정확한 진단과 치료, 예방접종 정보까지 한눈에 정리했습니다. 고령자와 가족이 꼭 알아야 할 폐렴 예방과 관리법을 확인해보세요! 최근 계절 변화와 미세먼지, 감염병 유행으로 ‘폐렴’에 대한 관심이 부쩍 높아지고 있습니다. 실제로 국민건강보험공단 통계에 따르면 2024년 폐렴 환자 수는 작년 대비 약 15% 증가했으며, 특히 60세 이상 고령층에서 위험성이 높아지고 있습니다. 폐렴은 감기처럼 가볍게 여기기 쉽지만, 심할 경우 생명까지 위협하는 치명적인 호흡기 질환입니다. 오늘은 폐렴의 증상과 원인, 예방법까지 전문가 의견과 최신 자료를 참고해 정리해보겠습니다. 폐렴이란 무엇인가요? 🩺폐렴은 바이러스, 세균, 곰팡이 등에 의해 폐에 염증이 생기는 질환입니다. 폐포(공기주머니)에 염증.. 2025. 4. 22. 이전 1 다음 반응형