폐렴의 증상, 원인부터 정확한 진단과 치료, 예방접종 정보까지 한눈에 정리했습니다. 고령자와 가족이 꼭 알아야 할 폐렴 예방과 관리법을 확인해보세요!
최근 계절 변화와 미세먼지, 감염병 유행으로 ‘폐렴’에 대한 관심이 부쩍 높아지고 있습니다. 실제로 국민건강보험공단 통계에 따르면 2024년 폐렴 환자 수는 작년 대비 약 15% 증가했으며, 특히 60세 이상 고령층에서 위험성이 높아지고 있습니다. 폐렴은 감기처럼 가볍게 여기기 쉽지만, 심할 경우 생명까지 위협하는 치명적인 호흡기 질환입니다. 오늘은 폐렴의 증상과 원인, 예방법까지 전문가 의견과 최신 자료를 참고해 정리해보겠습니다.

폐렴이란 무엇인가요? 🩺
폐렴은 바이러스, 세균, 곰팡이 등에 의해 폐에 염증이 생기는 질환입니다. 폐포(공기주머니)에 염증이 발생하면 가스 교환이 어려워져 산소 공급이 원활하지 않게 되고, 다양한 증상이 나타납니다. 특히 어린아이, 고령자, 만성질환자에게 위험성이 큽니다.
폐렴의 주요 증상 😷
폐렴의 증상은 감기와 비슷하지만, 더 심하고 오래 지속되는 경우가 많습니다.
- 고열 (38도 이상)
- 심한 기침 및 가래
- 호흡곤란 및 가슴 통증
- 근육통, 오한
- 피로감, 식욕부진
- 고령자는 정신 혼란이나 의식 저하가 동반될 수도 있어요.
감기와 달리 증상이 갑자기 심해지거나, 열이 3일 이상 지속된다면 반드시 병원 진료를 받아야 합니다.
폐렴의 주요 원인 🦠
폐렴은 원인균에 따라 크게 세균성, 바이러스성, 진균성으로 나눌 수 있습니다.
- 세균성 폐렴: 폐렴구균, 황색포도상구균 등
- 바이러스성 폐렴: 인플루엔자 바이러스, 코로나19 바이러스
- 진균성 폐렴: 곰팡이균 감염 (면역저하자에서 주로 발생)
그 외에 흡연, 만성질환, 면역력 저하, 대기오염 등이 폐렴 위험을 높이는 요인입니다. 대한결핵및호흡기학회에서는 "특히 65세 이상 고령자는 폐렴구균 예방접종을 꼭 받을 것"을 권장하고 있습니다.
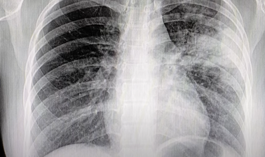
폐렴의 진단과 치료 방법 🏥
폐렴은 증상만으로는 감기나 기관지염과 구분이 어려워, 병원에서 정확한 검사가 필요합니다.
진단 방법
- 흉부 엑스레이
- 혈액 검사
- 객담 검사
치료 방법
- 세균성 폐렴: 항생제 투여
- 바이러스성 폐렴: 증상 조절 및 항바이러스제
- 산소치료: 호흡곤란 시 시행
- 수액요법: 탈수 및 전해질 불균형 보완
증상 악화 시 입원치료가 필요하며, 고령자와 면역저하자는 반드시 전문적인 치료를 받아야 합니다.
폐렴 예방법 🛡️
폐렴은 예방이 무엇보다 중요합니다. 다음을 꼭 기억하세요.
- 폐렴구균 예방접종 (65세 이상 및 만성질환자 필수)
- 독감 예방접종: 인플루엔자성 폐렴 예방 가능
- 철저한 손 씻기
- 마스크 착용 및 위생 관리
- 충분한 수분 섭취와 영양 관리
- 금연: 폐렴 발병률 약 50% 감소 효과
특히 대한감염학회에서는 “폐렴구균과 독감 백신을 함께 접종할 경우, 고령층의 폐렴 사망률을 최대 70%까지 줄일 수 있다”고 발표했어요.
마무리 🌿
폐렴은 누구에게나 발생할 수 있는 위험한 질환입니다. 감기와 비슷하게 여겨 방치하기 쉬우나, 조기 진단과 적절한 치료가 이루어지지 않으면 심각한 합병증과 생명 위협으로 이어질 수 있어요. 특히 고령자, 만성질환자는 반드시 예방접종을 챙기고, 증상이 의심되면 빠르게 병원을 방문하는 것이 중요합니다.
폐 건강을 지키기 위해 꾸준한 운동, 금연, 올바른 식습관을 유지하며, 면역력을 높여 폐렴을 예방해보세요! 🌸