직장암 초기증상부터 자가진단 10문항, 병기별 생존율, 치료·수술 방법, 대장암과 차이, 예방법, 좋은 음식, 비용·보험 정보까지 모두 정리했습니다. NCCN·ESMO·국립암센터 최신 자료 기반의 2025년 직장암 가이드.

🍅 직장암이란? (정의)
직장암(rectal cancer)은 대장 끝 15cm 이내의 ‘직장’에 발생하는 악성 종양으로,
전체 대장암의 30~35%를 차지해요.
대부분이 선암(adenocarcinoma, 95%↑) 형태이며,
한국에서는 서구화된 식단 + 고령화로 인해 매년 7,000~8,000명의 신환이 발생하는 추세예요.
👉 간단히 말하면:
출혈 + 변 습관 변화 + 잔변감이 직장암의 시그널!

🚦 H2. 직장암 병기별 증상(초·중·말기)
🔹 초기(0~I기)
- 무증상인 경우가 훨씬 많음
- 선홍색 항문 출혈
- 배변 습관 가벼운 변화(잔변감)
🔹 H3. 중기(II~III기)
- 지속적 출혈
- 변비·설사 반복
- 항문 통증, 압박감
- ‘연필처럼 가는 변’
- 빈혈 → 피로·어지럼증
🔹 H3. 말기(IV기)
- 극심한 복통
- 체중 급감, 전신 쇠약
- 간 전이 → 황달
- 폐 전이 → 호흡곤란
- 뼈 전이 → 뼈 통증
👉 핵심:
출혈 + 배변 변화 = 치질이라고 단정 금지! 반드시 내시경!

🧬 직장암의 원인·위험요인
🔹 유전적 요인
- FAP(가족성 선종성 용종증)
- 린치 증후군(HNPCC)
- KRAS/BRAF/TP53 변이
🔹 생활습관 요인
- 고지방·저섬유질 식단
- 비만·당뇨
- 흡연·과음
🔹 기타 위험군
- 만성 염증성 장질환
- 50세 이상
- 가족력 있는 경우 40세 이전 발병도 가능

🩺 직장암 자가진단 체크리스트(1분 테스트)
“혹시 나도…?” 하고 고민될 때, 지금 바로 1분만 체크해보세요.
정확한 진단은 아니지만, 1문항만 ‘예’여도 내시경 필요 가능성 있음!
(출처: 대한대장항문학회·국립암센터 2024)
📋 직장암 자가진단 10문항 체크표

점수 해석 (내 결과는 어디?)

치질이 있다고 무조건 치질 때문은 아니에요.
출혈 환자 70%는 치질이 맞지만, 10%는 직장암입니다.

🧪 집에서 가능한 검사(FIT 키트·앱) 신뢰도
🔹 FIT(분변잠혈검사) 키트 – 집에서 하는 대장암 전조 검사
- 신뢰도: 80~90%
- 가격: 약국에서 약 1만 원
- 결과: 양성(+)이면 무조건 내시경 필요
🔹 모바일 위험도 앱
- 참고용
- AI 기반, 정확도 약 60%
🔹 스마트 변기(일본)
- 연구 단계, 한국 미출시
- 참고용
👉 추천 루틴
“집에서 FIT → 양성 → 병원 내시경(보험 적용)”
이게 가장 효율적이고 정확!

🏥 자가진단 후 행동 흐름(실제 병원 프로세스)
[증상 체크]
↓
[FIT 키트 검사]
↓
[음성] → 1년 뒤 재검
[양성] → 병원(대장항문외과) 예약
↓
[대장내시경 + 생검] → 확진 / 용종 제거
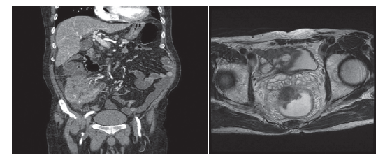
🔍 직장암 진단 방법
🥇 대장내시경 + 생검
→ 직장암 확진의 골든 스탠다드

🥈 골반 MRI
→ 종양 깊이·림프절 평가(직장암 병기 결정에 최적)

🥉 직장 초음파(EUS)
→ 국소 병기(T·N) 정확히 평가

🔹 CT(흉·복·골반)
→ 폐·간 전이 확인

🔹 CEA(혈액검사)
→ 진단용은 아니고, 치료 후 추적에 사용

🏥 직장암 수술 (근치적 치료의 핵심)
🔹 저위전방절제술(LAR)
직장 상부 암 / 항문 보존 가능
🔹 복회음절제술(APR)
괄약근 침범 → 영구 장루 필요
🔹 국소절제술(TEM/TAE)
초기 암(T1, 분화 좋음) → 내시경 절제
💡 수술 전·후 보조요법
- II/III기: 수술 전 방사선+항암(네오아주반트)
→ 종양 축소 + 항문 보존율 증가(70~80%)

💊 병기별 표준 치료(NCCN·ESMO 기준)
🔹 0기
국소절제(내시경)
🔹 I기
수술 단독
🔹 II기
수술 + 방사선 + 항암
🔹 III기
수술 전 방사선+항암 → 수술 → 보조항암
(TNT 전략으로 생존율 향상)
🔹 IV기
- 전이 절제 가능 → 근치적 수술 + 항암
- 불가능 → FOLFOX/FOLFIRI + 표적치료제
- MSI-H/dMMR → 면역항암제(펨브롤리주맙) 효과↑

🔥 직장암 vs 대장암 차이 (가장 많이 헷갈리는 부분!)

직장암은 ‘골반 내 재발’을 막기 위해 방사선이 필수!

👶 주로 나타나는 연령대 & 젊은 층 증가
- 평균 60세
- 40~50대 빠르게 증가
- 한국 2023 기준:
→ 50세 미만 직장암 15% (10년 전보다 2배 ↑)
원인: 고지방·야식·비만·흡연·스트레스
📊 병기별 5년 생존율 (국립암센터 2023)
- 0기: 98%↑
- I기: 90~95%
- II기: 75~85%
- III기: 50~74%
- IV기: 10~15% (전이 절제 시 30%)
💡 조기 발견(I기)이면 완치율 90% 이상!

♻️ 재발률 & 재발 위험
- 전체 재발률: 25~35%
- 국소 재발: 5~15% (대장암보다 높음)
- 재발 80%는 수술 후 2년 이내 발생
🔹 재발 위험 높이는 경우
- 림프절 전이
- III기
- 측방 림프절 침범
- 방사선 치료 안 한 경우(재발률 2배↑)
🔹 예방 전략
- 수술 전 방사선+항암(TNT) → 국소 재발 50% 감소
- CEA·CT 추적검사:
→ 1~2년차 3개월 간격 MUST
🥦 직장암 예방법 (발병 위험 30~50% 감소!)
🔸 정기 검진 (효과 60~90%↓)
- 50세부터 내시경
- 가족력 있으면 40세 또는 발병 연령 -10년
🔸 생활계 개선
- 금연: 위험 20~30%↓
- 절주: 위험 10~20%↓
- 체중 관리
- 주 150분 운동
🔸 의학적 예방
- 고위험군: 저용량 아스피린(전문의 상담 필요)

🍽 직장암에 좋은 음식
🔹 고섬유질
현미, 귀리, 브로콜리, 양배추
🔹 항산화
베리류, 당근, 시금치
🔹 오메가3
고등어, 정어리
🔹 발효식품
김치, 된장, 요거트 → 장내 유익균↑

🚫 피하면 좋은 음식
- 붉은육·가공육(위험 17~30%↑)
- 튀김·트랜스지방
- 과다 당류
💰 비용 & 보험 (2025년 기준)
- 내시경: 3~7만 원
- 직장암 수술(LAR): 150~300만 원
- 방사선+항암(6주): 100~200만 원
- 항암제(FOLFOX): 50~80만 원
- 장루 용품: 5~10만 원(복지카드 50% 지원)
👉 암보험 + 실손 있으면 대부분 부담 거의 없음.
👨👩👧 가족력이 있다면? (검진 시기)
- 부모·형제 1명 환자 → 40세 또는 발병 연령 -10년
- 린치 증후군 → 25세부터 매년
- FAP → 초등 고학년부터 검사
유전자 검사(MSI/MMR): 보험 적용 / 5~10만 원

🏥 유명 병원 & 전문의 (서울 기준)
- 서울아산병원: 로봇수술·직장암 최다
- 삼성서울병원: TNT 치료 선도
- 세브란스: 젊은층 암 전문
- 국립암센터: 상담·검진 지원

🙋♀️ FAQ
Q1. 치료 중 일해도 될까요?
→ I~II기 환자 70% 가능(재택 추천)
Q2. 임신 계획은?
→ 항암 종료 후 1년 뒤 권장
Q3. 유산균, 커피 먹어도 되나요?
→ 유산균 OK / 커피·녹차 1~2잔 OK
Q4. 장루 생활 어렵나요?
→ 샤워 가능·운동 OK·교체 3~5일/1회
📝 마무리
출혈·배변 변화가 있다면 절대 미루지 말고 내시경!
40세 이후 정기 검진 + 고섬유질 식단 + 금연이면 직장암 절반은 예방 가능해요.
대장암 완벽 가이드! 자가진단·증상·원인·검사·치료·예방까지
대장암의 정의부터 초기증상, 원인, 검사·치료 방법, 생존율, 그리고 도움이 되는 식단까지 한눈에 정리했습니다. 조기발견과 예방이 무엇보다 중요합니다!대장암이란 무엇일까?대장암은 대장(
happylife7777.com
대장암 완벽 가이드! 자가진단·증상·원인·검사·치료·예방까지
대장암의 정의부터 초기증상, 원인, 검사·치료 방법, 생존율, 그리고 도움이 되는 식단까지 한눈에 정리했습니다. 조기발견과 예방이 무엇보다 중요합니다!대장암이란 무엇일까?대장암은 대장(
happylife7777.com
대장암 완벽 가이드! 자가진단·증상·원인·검사·치료·예방까지
대장암의 정의부터 초기증상, 원인, 검사·치료 방법, 생존율, 그리고 도움이 되는 식단까지 한눈에 정리했습니다. 조기발견과 예방이 무엇보다 중요합니다!대장암이란 무엇일까?대장암은 대장(
happylife7777.com
대장암 완벽 가이드! 자가진단·증상·원인·검사·치료·예방까지
대장암의 정의부터 초기증상, 원인, 검사·치료 방법, 생존율, 그리고 도움이 되는 식단까지 한눈에 정리했습니다. 조기발견과 예방이 무엇보다 중요합니다!대장암이란 무엇일까?대장암은 대장(
happylife7777.com
대장암 완벽 가이드! 자가진단·증상·원인·검사·치료·예방까지
대장암의 정의부터 초기증상, 원인, 검사·치료 방법, 생존율, 그리고 도움이 되는 식단까지 한눈에 정리했습니다. 조기발견과 예방이 무엇보다 중요합니다!대장암이란 무엇일까?대장암은 대장(
happylife7777.com
대장암 완벽 가이드! 자가진단·증상·원인·검사·치료·예방까지
대장암의 정의부터 초기증상, 원인, 검사·치료 방법, 생존율, 그리고 도움이 되는 식단까지 한눈에 정리했습니다. 조기발견과 예방이 무엇보다 중요합니다!대장암이란 무엇일까?대장암은 대장(
happylife7777.com
대장암 완벽 가이드! 자가진단·증상·원인·검사·치료·예방까지
대장암의 정의부터 초기증상, 원인, 검사·치료 방법, 생존율, 그리고 도움이 되는 식단까지 한눈에 정리했습니다. 조기발견과 예방이 무엇보다 중요합니다!대장암이란 무엇일까?대장암은 대장(
happylife7777.com
대장암 완벽 가이드! 자가진단·증상·원인·검사·치료·예방까지
대장암의 정의부터 초기증상, 원인, 검사·치료 방법, 생존율, 그리고 도움이 되는 식단까지 한눈에 정리했습니다. 조기발견과 예방이 무엇보다 중요합니다!대장암이란 무엇일까?대장암은 대장(
happylife7777.com
대장암 완벽 가이드! 자가진단·증상·원인·검사·치료·예방까지
대장암의 정의부터 초기증상, 원인, 검사·치료 방법, 생존율, 그리고 도움이 되는 식단까지 한눈에 정리했습니다. 조기발견과 예방이 무엇보다 중요합니다!대장암이란 무엇일까?대장암은 대장(
happylife7777.com
'증상별 건강 탐구' 카테고리의 다른 글
| 황반변성 초기증상 이렇게 옵니다! 건성·습성 차이부터 치료·주사·완치 가능성까지 총정리 (0) | 2025.12.06 |
|---|---|
| 귓불 주름이 치매 신호일 수 있다? 프랭크 징후의 진실과 예방법 총정리 (0) | 2025.11.27 |
| 건선 부위별 증상·초기징후·치료법·연고 추천까지 한 번에 정리! (지루성 피부염과 차이 비교) (0) | 2025.11.25 |
| 겨울마다 찾아오는 불청객 노로바이러스 증상·전염·예방법·굴 섭취시 주의사항·로타바이러스와 차이점까지 총정리 (1) | 2025.11.21 |
| 2025 인플루엔자(독감) 대유행, 증상부터 치료·격리·예방까지 한 번에 정리! (0) | 2025.11.19 |