배우 이동건이 밝힌 강직성 척추염, 도대체 어떤 병일까? 증상·자가진단·원인·유전·치료·보험·군면제·임신·합병증·생활관리까지 총정리한 최종 가이드. 환자와 가족이 반드시 알아야 할 최신 정보와 생활 팁을 담았습니다.

강직성 척추염이란? 🤔 배우 이동건이 고백한 병
강직성 척추염(Ankylosing Spondylitis, AS)은 척추·천장관절에 만성 염증이 생기며 점점 척추가 굳어지는 자가면역 질환이에요.
👉 이동건은 방송에서 “포도막염과 관절 통증으로 진단받았다”고 고백했는데, 이는 많은 환자들이 처음 겪는 전형적인 패턴입니다.
- 주 발생 연령: 20~30대 (특히 남성에서 여성보다 2~3배 높음)
- 특징: 아침에 뻣뻣함, 장기간 지속되는 요통, 포도막염 동반 가능
- 유병률: 한국에서 2023년 기준 약 5.5만 명 (남성 비율 70%)

주요 증상 🚨
초기 증상
- 아침에 30분 이상 허리가 뻣뻣함
- 밤에 통증으로 잠을 깨는 경우
- 운동 시 완화, 휴식 시 악화되는 패턴
진행 증상
- 피로, 발열, 체중 감소
- 엉덩이·무릎·발뒤꿈치 통증
- 흉곽 움직임 제한 → 깊은 호흡 시 불편
눈 관련 증상
- 포도막염 (25~40% 환자)
- 충혈, 시야 흐림, 통증 동반
⚠️ 증상이 불규칙적으로 나타났다 사라지기도 하므로, “잠깐 좋아졌다” 하더라도 방심은 금물입니다.

자가진단 포인트 📝
- 아침 강직 30분 이상
- 요통 3개월 이상
- 운동·샤워 시 완화
- 포도막염 이력
- 허리 굽힘 유연성 저하 (Schober test)
단, 자가진단은 어디까지나 참고용! 전문 검사(MRI, 혈액검사)가 필수입니다.

원인과 유전적 요인 🧬
강직성 척추염은 원인이 100% 밝혀지지 않았어요.
- 유전 요인: HLA-B27 유전자 (한국인 약 8% 보유)
- 보유자는 발병 위험 10~20배 증가
- 하지만 실제 발병률은 2~5%에 불과 → “유전자만 있다고 꼭 걸리진 않음”
- 환경 요인: 흡연, 감염, 스트레스
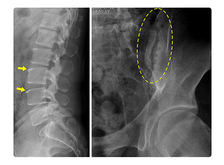
검사 방법 🔬
- 혈액 검사: HLA-B27, ESR, CRP

- 영상 검사: X-ray, MRI (조기 진단에 더 민감)

- 기능 검사: 척추 유연성, 가슴 확장도 측정

MRI는 증상이 나타난 초기부터 병변 확인 가능해서 요즘 가장 많이 활용됩니다.
치료법과 최신 약물 💊
약물 치료
- NSAID: 1차 선택, 통증·염증 완화
- 생물학적 제제: TNF 억제제(에타너셉트, 인플릭시맙), IL-17 억제제(세쿠키누맙)
- 70% 환자에서 증상 50% 이상 개선
- 2023년부터 건강보험 1차 적용
- JAK 억제제: 토파시티닙, 최근 보험 적용
주사 치료
- TNF 억제제: 피하·정맥 주사 (1~8주 간격)
- IL-17 억제제: 세쿠키누맙, 효과 좋음
수술
- 진행 시 척추 융합 고정술 필요

비약물 치료와 운동 🏃
- 추천 운동: 수영, 요가, 스트레칭
- 루틴 예시
- 아침: 온수 샤워 후 스트레칭 15분
- 낮: 가벼운 걷기, 호흡 운동
- 저녁: 요가·수영으로 관절 유연성 강화
- 피해야 할 것: 격한 접촉 스포츠, 무거운 역기
👉 운동은 “하면 아프다”가 아니라 “안 하면 더 아프다”는 게 환자들의 공통된 경험입니다.

합병증 ⚠️
- 심혈관 질환: 일반인 대비 1.5배 위험
- 골다공증: 척추 골절 위험 ↑
- 염증성 장질환: 5~10% 동반
- 폐 기능 저하: 호흡 곤란

임신과 출산 👶
- 여성 환자도 임신 가능
- 약물 복용 시 산부인과 상담 필요
- 척추 강직 시 제왕절개 가능성 ↑
사회적 지원 🙌
- 한국강직성척추염환우회
→ 정보 공유, 환자 모임, 심리적 지원 - 장애 등록 가능 (중증 환자 4~6등급) → 세금 감면, 교통 혜택
- 직장인 환자: 장시간 같은 자세 금물, 재택·유연근무 권장

경제적 부담 💸
- NSAID: 월 1~3만 원
- 생물학적 제제: 보험 적용 시 월 10~30만 원, 비보험 시 100만 원+
- 지원: 보건복지부 저소득층 의료비 지원, 희귀질환 등록 시 혜택
명의 추천 🩺
- 김태환 교수 (한양대병원 류마티스내과): 국내 최고 권위자
- 이상호 교수 (경희대병원): 환자 중심 치료
- 안기양 교수 (고려대 구로병원): 젊은 환자 전문
- 이은영·박준호 교수 (서울대병원): 척추염 전문 클리닉 운영

우리나라 발병 현황 📊
- 발병률: 연 6~8명/10만 명
- 유병률: 2023년 81.87명/10만 명 (2010년 대비 3배 ↑)
- 환자 수: 2023년 55,375명 (2013년 대비 1.5배 증가)
- 남성 비율 70%

군대 🧑
- 경증: 현역/공익
- 중증(척추 융합): 4급(보충역) 또는 6급(면제)
- 진단서 + MRI 제출 필요
- 1999년 이전 진단자 → 재검사로 면제 가능
오해와 진실 🔍
- ❌ “노인병” → 사실: 20~30대 발병
- ❌ “운동하면 악화” → 사실: 운동이 증상 완화
- ❌ “HLA-B27 없으면 발병 안 함” → 사실: 10%는 음성 환자

환자 경험과 이동건 사례 🙋
- 이동건이 포도막염·관절염 공개 → 대중 인식 확대
- 환자 커뮤니티 반응: “나도 병원 가봐야겠다”
- 심리적 영향: 우울감, 불안, 상담·지지 그룹 권장

생활관리 꿀팁 🌱
- 식단: 오메가-3 풍부한 생선, 채소, 통곡물
- 피해야 할 음식: 글루텐·유제품 (증상 악화 가능성)
- 금연·절주: 흡연은 염증 악화 및 폐 기능 저하
- 수면 습관: 단단한 매트리스, 옆으로 자는 자세 피하기
- 스트레스 관리: 명상, 호흡법
자주 묻는 질문(Q&A) ❓
- Q: 통증 없어도 발병하나요?
A: 드물지만 가능, MRI로 확인. - Q: 약 끊으면 재발하나요?
A: 재발 위험 높음, 꾸준히 관리 필요. - Q: 수명 줄어드나요?
A: 합병증 관리하면 정상 수명 가능.
결론 🙏
강직성 척추염은 완치가 어렵지만, 조기 발견·꾸준한 치료·운동·생활 관리로 충분히 컨트롤할 수 있습니다.
배우 이동건처럼 공개적으로 알리는 사례가 늘어나면서 환자들의 조기 진단에도 큰 도움이 되고 있어요.
👉 혹시 비슷한 증상이 느껴진다면, 대한류마티스학회와 국립보건연구원 가이드를 참고하고, 반드시 전문의를 찾아가시길 권장합니다.
📌 출처
- 대한류마티스학회 (www.rheum.or.kr)
- 국립보건연구원 (nih.go.kr)
- 한국강직성척추염환우회 (www.aspatient.or.kr)
'증상별 건강 탐구' 카테고리의 다른 글
| 스키터 증후군의 원인∙증상∙치료법∙연고 추천까지 완벽 가이드 (0) | 2025.10.03 |
|---|---|
| 쯔양이 밝힌 희귀 안질환 '망막색소변성증' 완전 정리: 증상부터 실명 가능성, 검사비, 치료법까지 (1) | 2025.10.02 |
| [2025 최신 정리] 강남이 고백한 '길버트 증후군'이란? 증상·유전·검사·병원·관리법 총정리 (0) | 2025.09.29 |
| 모야모야병 완벽 가이드|뜻·초기증상·원인·자가진단·유전·수술비·명의·추천 병원·금쪽이 사례까지 총정리 (1) | 2025.09.27 |
| 백내장 수술 잘하는 병원·명의 추천 2025 | 비용·렌즈 선택·회복까지 완벽 가이드 (1) | 2025.09.25 |