구내염 증상, 원인, 감염 여부, 혀 구내염, 아기 구내염까지! 잇몸·입술·혀에 생기는 궤양의 원인부터 치료법, 예방 식습관까지 자세히 알려드립니다. 자주 재발하는 분들도 꼭 참고하세요.

안녕하세요 😊
입 안이 따끔하고 밥 먹을 때 너무 아파본 경험, 다들 있으시죠?
바로 ‘구내염’ 때문인데요.
그저 간단한 염증처럼 보여도, 자주 재발하고 통증이 심한 경우, 정확한 관리가 필요합니다.
오늘은 구내염의 의미, 원인, 증상, 종류(아기 구내염, 혀 구내염 포함)부터
전염성 여부, 치료 방법, 좋은 음식과 예방법까지
한 번에 확실하게 알려드릴게요! 🦷✨
🧐 구내염이란?
구내염은 입안 점막에 생기는 염증성 질환을 통틀어 말합니다.
입술 안쪽, 잇몸, 뺨 안쪽, 혀 등 입 전체에 생길 수 있으며,
흔히 작은 궤양(하얗게 파인 부분)이 생기며 통증을 유발합니다.

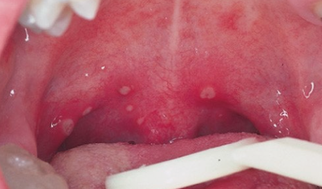
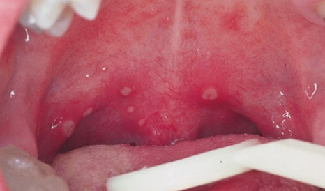
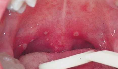
📌 구내염 증상
- 🔥 입안이 따끔거리고 아픔
- 😖 말하거나 씹을 때 불편함
- 🍚 음식, 특히 매운 음식 섭취 시 통증
- 👅 혀에 궤양 또는 물집이 생김
- 🦷 잇몸이 붓고 피가 날 수도 있음
- 💧 침 분비 증가 또는 구취(입 냄새)
※ 대부분 1~2주 내 자연적으로 낫지만, 반복되거나 심하면 치료가 필요합니다.

🔍 구내염 원인 7가지
구내염의 원인은 매우 다양해요! 자주 생기신다면 원인을 꼭 체크해보세요 ✅
- 면역력 저하
- 피곤하거나 스트레스를 많이 받을 때 자주 생깁니다.
- 영양 부족
- 비타민 B, 철분, 아연 부족이 주요 원인 중 하나예요.
- 기계적 자극
- 칫솔질 중 상처, 음식에 베임, 교정기 등
- 바이러스·세균 감염
- 단순 포진, 헤르페스 등 감염성 구내염 가능
- 호르몬 변화
- 특히 여성의 생리 주기 전후
- 식품 알레르기
- 특정 음식(초콜릿, 견과류 등)에 의한 반응
- 구강 위생 불량
- 칫솔질 부족, 입속 세균 증가

👶 아기 구내염, 특별히 주의하세요!
아기에게 생기는 구내염은 어른보다 더 고통스럽고,
모유수유, 젖병 거부, 울음, 발열로 이어질 수 있어요.
가장 흔한 형태는:
🔹 아구창 (칸디다성 구내염)
- 원인: 곰팡이균(칸디다균) 감염
- 증상: 혀, 입천장에 하얀 코팅이 생기며, 닦아도 안 지워짐
- 전염성: 있음 (장난감, 젖병 공유 시)
- 치료: 항진균제 또는 의사의 처방 연고

🔹 헤르페스 구내염 (바이러스성)
- 원인: 단순포진 바이러스(HSV-1)
- 증상: 입 안에 수포, 궤양, 발열 동반
- 전염성: 매우 높음 ❗
- 치료: 항바이러스제, 진통제 등
※ 아기에게 입안에 하얀 것, 궤양이 보이면 소아과 진료 꼭 받아야 해요.

👅 혀 구내염: 혀가 아플 때
혀 끝, 옆, 뿌리에 생기는 구내염은 말하기, 음식을 씹을 때 통증이 더 강하게 느껴져요.
원인:
- 혀를 깨물었거나 음식에 베인 경우
- 스트레스성
- 영양소 부족
- 감염성
치료:
- 구강청결 유지
- 식염수로 입 헹구기
- 진통 연고 사용
- 필요시 항생제 또는 항바이러스제

❓ 구내염은 전염되나요?
✅ 일반적 궤양성 구내염 (아프타성)은 전염되지 않습니다.
❌ 하지만 바이러스성 구내염(헤르페스, 아구창 등)은 전염됩니다!
- 음식을 같이 먹거나
- 수건·컵·젖병 공유
- 키스, 침 분비물 접촉 등으로 전파될 수 있어요.
➡️ 전염 가능성이 있는 경우, 분리된 식기·생활용품 사용이 좋아요.

✅ 알보칠(Albochil)은 구내염에 효과 있을까요?
네, 알보칠은 특정 종류의 구내염에 효과가 있습니다.
특히 아프타성 구내염(흰색 궤양이 생기는 일반적인 구내염)이나
작은 상처성 염증에 사용하면 통증 완화와 회복 촉진에 도움을 줄 수 있어요.
👄 어떤 구내염에 효과 있나요?
✅ 효과적인 경우:
- 아프타성 구내염 (흔히 하얗게 염증 생기는 일반 궤양)
- 기계적 자극으로 생긴 구내염 (입을 베였거나 교정기 자극 등)
- 잇몸 염증, 입안 상처 등
❌ 효과가 떨어지거나 부적절한 경우:
- 바이러스성 구내염 (예: 헤르페스 구내염)
- 곰팡이성 구내염 (아구창)
- 전신적인 질환에 의한 염증
→ 이런 경우는 의사 진료와 정확한 진단이 먼저입니다.
⚠️ 사용 시 주의사항
- 면봉에 묻혀 염증 부위에 국소적으로 발라야 합니다 (절대 삼키지 않기!)
- 하루 1~2회 정도 소량만 사용
- 처음 바를 때 따끔하거나 자극감이 있을 수 있음
- 2세 이하 어린이 사용은 피하거나 소아과 전문의 상담 필요
- 장기간 사용 금지 – 증상이 1주 이상 지속되면 병원 진료 권장
👶 아기에게도 사용할 수 있나요?
- 일반적으로 만 2세 이하 유아에게는 권장되지 않습니다.
- 어린이의 경우에도 증상에 따라 전문의 진료 후 사용 여부 결정이 바람직해요.

🩺 구내염 치료 방법
✔ 일반 구내염
- 통증 완화 연고 (예: 트라스트 겔, 알보칠 등)
- 입안 청결 유지
- 자극적 음식 피하기
- 비타민 보충 (B, C군)
✔ 감염성 구내염
- 항바이러스제, 항생제, 항진균제
- 병원 진료 필수
※ 1~2주 지나도 낫지 않거나 자꾸 재발하면 내과나 이비인후과, 피부과 진료를 권장합니다.

🥦 구내염에 좋은 음식 & 피해야 할 음식
✅ 좋은 음식
- 비타민 B·C 풍부한 채소: 브로콜리, 시금치, 파프리카
- 꿀물, 죽, 유동식
- 철분, 아연 포함 식품: 계란, 견과류, 두부
❌ 피해야 할 음식
- 맵고 짠 자극적인 음식
- 뜨거운 국물
- 딱딱하고 뾰족한 음식 (과자, 튀김 등)
- 산성 음료 (오렌지주스, 탄산)

💡 구내염 예방법
- 규칙적인 양치와 구강세정제 사용
- 충분한 수면과 스트레스 관리 🛌
- 비타민, 미네랄 섭취
- 음식 씹을 때 천천히, 조심스럽게
- 치아 교정기나 틀니 사용 시 자극 없도록 조정
- 구강 내 상처 생기지 않도록 주의

✅ 마무리 정리

💬 한마디로 요약하자면?
"구내염은 작지만 통증은 크다!"
올바른 생활습관, 구강 관리, 영양 섭취로 예방하고,
반복되거나 심한 경우엔 병원 진료를 꼭 받으세요.
👶 특히 아기 구내염은 감염성이 높고, 수유 거부로 이어질 수 있으니
부모님들이 잘 살펴보셔야 합니다!