숨이 가쁘고 기침이 자주 난다면 폐 건강 이상 신호일 수 있습니다. 폐 위치부터 자가진단, 정기 검진 방법, 폐에 좋은 음식과 운동, 추천 영양제까지 알차게 정리했습니다. 지금 확인해보세요!

안녕하세요 여러분~! 😊
요즘 미세먼지 때문에 목이 칼칼하거나, 갑자기 숨이 가쁘고 기침이 늘었다면... 그냥 넘기시면 안 됩니다!
이건 바로 '폐'가 보내는 SOS 신호일 수도 있거든요.
오늘은 우리가 평소 잘 신경 쓰지 않지만 정말 중요한 장기, ‘폐 건강’에 대해 쉽고 친근하게 알려드릴게요.
자가진단 체크리스트부터 건강검진, 음식, 운동, 영양제까지 하나하나 챙겨보도록 해요! 👇
📍 폐의 위치와 역할
폐는 가슴 안쪽, 갈비뼈 안에 위치해 있으며 좌우 한 쌍으로 존재합니다.
왼쪽 폐는 심장을 감싸고 있어 조금 작고, 오른쪽 폐는 더 큽니다.

🎒 폐의 주요 역할
- 산소를 받아들이고 이산화탄소를 배출 (호흡)
- 혈액 내 산소 공급
- 면역 기능 (먼지, 세균 차단)
- 독소 해독 일부
💡 폐는 자극에 매우 민감한 기관이기 때문에 평소 관리가 정말 중요해요.

✅ 폐 건강 자가진단 체크리스트
아래 항목 중 3개 이상 해당된다면 폐 기능 저하를 의심해볼 수 있어요.
☐ 아침에 일어났을 때 가래가 자주 나옴
☐ 평소보다 숨이 짧고 빨리 가빠짐
☐ 가슴에 뻐근한 느낌이 자주 듬
☐ 기침이 2주 이상 지속됨
☐ 밤에 기침이나 숨 막힘으로 자주 깸
☐ 담배를 하루 한 갑 이상 피우고 있음
☐ 숨을 들이쉴 때 쇳소리(천명음)가 남
✅ 위 증상은 만성폐쇄성폐질환(COPD), 폐기종, 기관지염 등의 신호일 수 있으니 꼭 점검해보세요!

🏥 폐 건강 검진, 언제 받아야 할까?
폐는 조용히 나빠지기 때문에 정기적인 건강검진이 매우 중요합니다.
💉 필수 폐 검사 항목
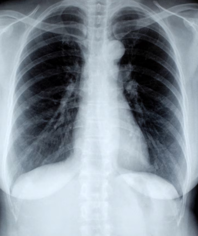
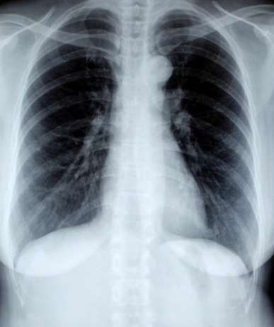
- 흉부 X-ray: 폐렴, 폐암, 결핵 등 확인
- 폐기능 검사 (PFT): 폐활량, 산소교환 능력 체크
- CT 검사: 미세 병변까지 정밀 진단 가능
- 종합건강검진 시 포함되는 경우 많음
🔄 40세 이상, 특히 흡연자라면 1~2년에 한 번 검진 추천!

🥗 폐에 좋은 음식 BEST 5
1. 배 🍐
기관지 점막을 촉촉하게 해주고 기침 완화에 도움!
2. 도라지
사포닌 성분이 많아 염증 완화에 효과적
3. 무
가래 제거와 해독 작용 탁월. 특히 무즙 추천!
4. 브로콜리 🥦
항산화 성분 풍부, 폐세포 손상 방지
5. 강황(커큐민)
항염 효과 탁월! 기관지 염증을 줄여줍니다.
💡 꿀팁: 배+도라지+꿀 넣고 끓인 배숙은 겨울철 명품 폐 보양 음료예요!

🏃 폐에 좋은 운동 3가지
운동은 폐활량을 높이고 호흡 근육을 강화시켜줘요!
1. 복식 호흡 (횡격막 호흡)
- 방법: 코로 천천히 숨 들이쉬고, 입으로 길게 내쉬기
- 하루 10분 꾸준히 연습
2. 걷기/가벼운 등산
- 유산소 운동으로 폐 확장 유도
- 미세먼지 없는 날, 숲길 걷기 추천! 🌳
3. 요가·명상 호흡
- 스트레스 완화 + 폐 근육 이완 효과
- 자세 교정으로 흉곽 공간 확보

🛒 폐 건강을 위한 영양제 추천
바쁜 현대인들을 위해 폐 기능을 도와주는 영양제도 추천드릴게요 😊

✅ 영양제는 의약품이 아니며, 꾸준한 식이와 병행할 때 효과가 좋아요!

💬 마무리 한마디
"폐는 조용히 아프다."
이 말, 들어보셨나요? 폐는 이상이 생겨도 눈에 띄는 증상이 늦게 나타나는 편이라 미리미리 관리하는 게 가장 중요합니다.
이 글을 읽고 있는 지금!
딱 5분만 투자해서 자가진단도 해보시고, 좋은 음식과 운동부터 하나씩 실천해보세요 💪
폐는 매일 2만 번 숨 쉬며 쉬지 않고 일하는 장기입니다.
그 소중한 기관, 오늘부터 더 아껴주세요!